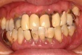
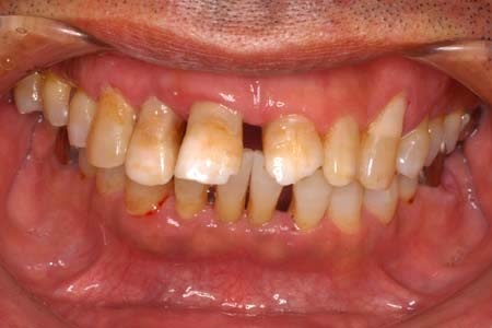
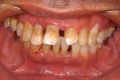
歯周病の症状と歯の周りで起きていること
歯肉が赤み・紫色味を帯びている
健康な歯肉はきれいなピンク色ですが、歯肉が赤み・紫色味を帯びているということは、歯肉が炎症によって腫れている事を示しています。歯周病菌が感染して炎症を起こした歯肉の毛細血管が破壊されはじめていることを示しています。
歯石が付いている
歯石の付着それ自体は歯周病の直接的原因ではありませんが、歯石の表面にはプラーク(歯垢)が強固に付着しやすくなります。このプラークこそが歯周病の原因となりますので、歯石は歯周病に大きな関わりを持っています。
歯肉の上に見える白い歯石(縁上歯石)ばかりでなく、歯ぐきの中の歯の根の表面に付く黒っぽい歯石(縁下歯石)もあります。
歯みがきの時に歯肉から出血がある
歯周病の典型的な症状として、ブラッシングをしたときに痛みを感じる事は無いが出血する(歯ブラシに血が付いている。ゆすいだときに血が混じっている)ことが上げられます。
歯肉には多くの毛細血管が網目状に通っていますが、歯周病菌の感染により炎症を起こした歯肉にブラッシングなどで強い刺激が加わると出血してしまいます。
口臭がするようになった
口臭の原因はさまざまですので、「口臭がある」=「歯周病」ということではありませんが口臭が強い場合には何らかの原因が考えられます。
口臭は、ご自身では気がつきにくく、周囲の方も口臭が強いことは指摘しにくいのものです。歯周病による口臭の場合には歯の周囲の歯周病菌が繁殖することにより生じる腐敗臭に近い臭いで、周囲の方にとっては大変不快な臭いです。
口臭対策として、ガム、洗口剤、タブレットなどが市販されていますが、これらの効果は一時的な物で、根本的な問題である歯周病の治療を行わない限り解決しません。
口の中がネバネバする
とくに朝起きたときに口のなかがネバネバする症状がある場合は注意が必要です。はっきりと認識できなくても、歯周病による出血や膿みが唾液中にまじってネバネバとする場合があります。
歯が浮いた感じがある。 歯がぐらつくようになり、ものが咬みにくい
健康な歯であってもわずかに動くのが正常です。
歯周病になると歯周組織(歯を支える歯肉や骨)が破壊されてしまいます。歯周病が進行し中程度以上になると指でつかんで動かすとグラグラするようになります。左右方向ばかりでなく上下方向に動くようになると重症で、歯周組織が大きなダメージを受けていることが考えられます。こうなると、歯が浮いた感じになってきます。
歯周病になると歯周組織が侵されて歯を支える力が十分発揮できなくなります。そのため、硬いものを咬むと痛みが出て上手く咬めなくなったり、緩んだ歯が動いてしまい、きちんとした噛み合わせが出来なっていることが考えられます。
歯肉が下がって歯が長く見える
歯周病にかかりますと、歯肉の炎症や歯を支える骨が溶けて歯肉が下がっていきます。このため長い間には、歯が長くなってきたように見えますが、実際には歯を支えている部分が少なくなってきたということです。
昔よりも出っ歯になった
歯周病で歯を支える力が弱くなると歯が動きはじめます。一般的に前歯は前方へ向かって傾き場合によっては伸び出してくる事もあります。若い頃より上下の前歯が出っ張ってデコボコになってきたり、隙間が出て来ていませんか?
歯と歯の隙間が広がって、食べ物が挟まりやすい
歯周病にかかりますと歯肉が下がってきたり、歯が動いて歯と歯の間の隙間が広がったり、歯の根元に三角形の大きな隙間が出来ています。そのため、食物がつまったり、繊維質が歯の間に挟まって取れない、詰まった食べ物の上から更に食べ物が押し込まれて歯肉が腫れる、痛いなどの症状が現れることがあります。
こうなると歯周病の問題ばかりでなく、歯の根の部分のむし歯にもなりやすくなります。
これらの症状全てが歯周病により生じているとは言い切れませんので、心配な場合は歯科健康診査(歯科健診)においでください。
◆以下は歯周病を悪化させるリスク要因となるものです。
歯ぎしり、食いしばりをする
歯ぎしりや食いしばりは歯周病を悪化させる要因の一つです。就寝中の歯ぎしりや食いしばりの際にはかなりの強い力でかみ合わせていますので、歯を支えている歯周組織にダメージを与えることが懸念されます。
糖尿病にかかっている
歯周病は全身の健康に影響を及ぼす病気としての認識が高まっています。とくに歯周病と糖尿病の関係は密接で、互いに深く関連して進行する病気です。このため歯周病は糖尿病の第6の合併症といわれています。
糖尿病があると歯周病がにかかり易くなるばかりでなく、歯周菌が血中に入ることにより糖尿病の症状が改善しにくくなったり、糖尿病以外にも心疾患や脳梗塞のリスクを高めるという報告もあります。
タバコを吸う
喫煙習慣があると、歯肉に酸素や栄養を供給する毛細血管がタバコのニコチンにより収縮してしまい貧血状態となります。 そのため、歯肉を修復するために必要な線維芽細胞の働きが抑制さます。また、初期症状として解りやすい歯肉の腫れやブラッシング時の出血が現れにくいため、歯周病の進行に気がつくのが遅れる事があります。
